Zubní kámen a jeho odstranění: Co musíte vědět, abyste se vyhnuli problémům s dásněmi
Vyhodnocení rizika vzniku zubního kamene
Tento nástroj vám pomůže odhadnout, jak velké je vaše riziko vzniku zubního kamene na základě vašich zdravotních faktorů a způsobu života. Je to jen orientační výpočet, který vám ukáže, zda byste měli zvýšit pozornost k hygieně zubů.
Vaše riziko vzniku zubního kamene
Doporučené akce
Poznámka: Toto je pouze orientační vyhodnocení. Pro přesnou diagnostiku vždy navštěvujte zubního lékaře.
Zubní kámen není jen ošklivý nálepek na zubech - je to aktivní hrozba pro vaše dásně, kosti kolem zubů a celkové zdraví úst. Mnoho lidí si myslí, že ho odstraní častější čištění zubů, ale to není pravda. Když se zubní plak neodstraní včas, ztuhne a přemění se na kámen - a už ho žádná kartáček neodstraní. Pokud ho necháte, začnou se dásně odtrhávat od zubů, vzniknou hluboké kapsy, kde se hromadí bakterie, a může dojít k ztrátě zubů. Nejde o otázku, zda máte zubní kámen - ale když jste ho naposledy nechali odstranit.
Co je zubní kámen a jak vzniká?
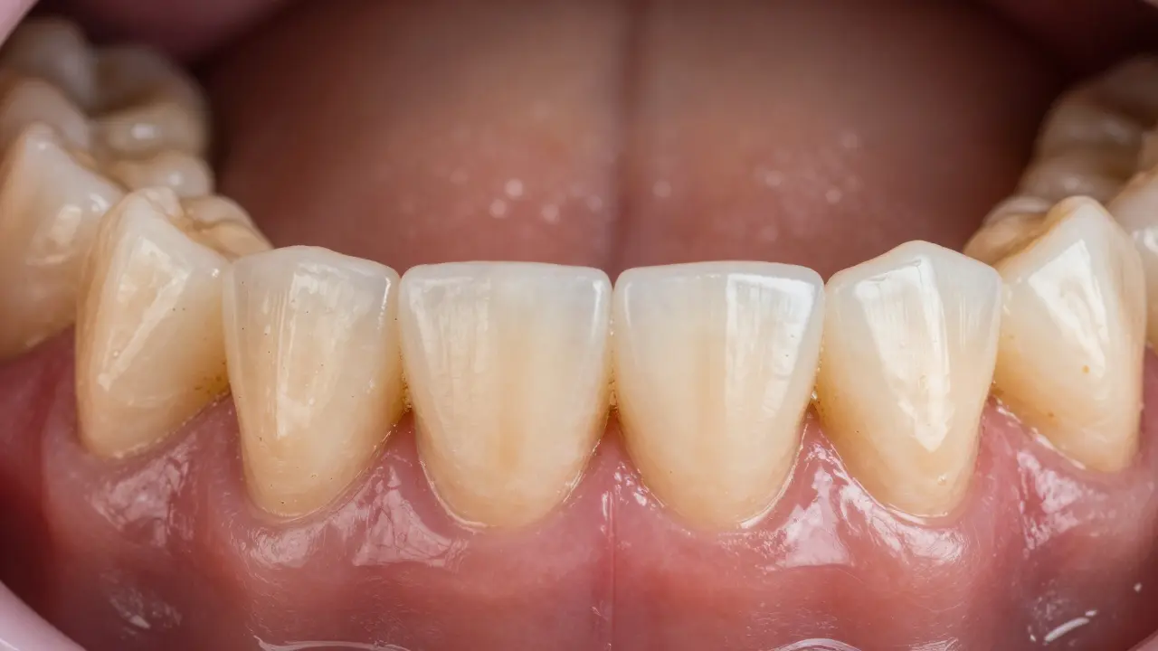
Zubní kámen vzniká z plaku - tenké vrstvy bakterií, která se na zubech tvoří po každém jídle. Pokud nečistíte zuby správně, tyto bakterie vyrábějí kyseliny, které ničí sklovinku, a zároveň se plak postupně váže na minerály ve slinách - hlavně na vápník a fosfát. Výsledek? Tvrdý, žlutý nebo hnědý nálepek, který se přilepí k zubům, často u dásní.
Nejčastěji se objevuje u spodních řezáků, uvnitř, a na vnitřní straně horních molárů. Tam, kde sliny proudí pomaleji, se minerály hromadí. Ať už máte zuby rovné nebo křivé, zubní kámen se tvoří stejně - jen rychleji u lidí, kteří čistí zuby jen jednou denně nebo používají jen kartáček bez zubního nitě.
Plak se za 24-72 hodin změní v kámen. To znamená, že pokud jednou denně nečistíte zuby nebo používáte jen kartáček, máte v ústech stálý zdroj kamenů. A nejhorší je: kámen nebo plak neznamenají jen zápach z úst - způsobují zánět dásní, který se jmenuje gingivitida. Pokud ho nezastavíte, přechází v paradentitidu - nemoc, která ničí kost, která drží zuby na místě.
Proč se zubní kámen neodstraní doma?
Možná jste viděli video, kde někdo odstraní kámen pomocí nástroje z internetu. To je nebezpečné. Zubní kámen je tvrdší než vaše zuby - a pokus o jeho odstranění doma může způsobit mikrotrhliny ve sklovince, poškození dásní nebo dokonce ztrátu zubu. Neexistuje žádný domácí nástroj, který by byl bezpečný a účinný.
Už jste někdy zkoušeli odstranit kámen z nádobí škrábnutím nožem? To je přesně to, co děláte svým zubům, když používáte špachtle, dráty nebo jiné předměty. Můžete odstranit část kamenů, ale zanecháte na zubech hrubé povrchy, kde se plak hromadí ještě rychleji. A dásně, které už jsou zánětlivé, se po takovém „čištění“ ještě víc poškodí.
Odstranění zubního kamene vyžaduje speciální nástroje, které má jen zubní lékař nebo zubní hygienička. Používají ultrazvukové skrabky, které vydávají vysoké frekvence - ty rozpadají kámen bez poškození zubu. A potom rukou, jemnými škrábnutími, odstraní zbytky a vyhladí povrch. To je jediný bezpečný způsob.
Kdy je čas na profesionální čištění?
Není potřeba čekat, až budou zuby žluté nebo zápach z úst. Základní pravidlo: každých šest měsíců. Ale některé skupiny lidí potřebují častěji - například:
- ti, kteří kouří - kámen se u nich tvoří rychleji a je tmavší
- lidé s diabetem - jejich tělo má horší schopnost bojovat s infekcemi v ústech
- ti, kteří nosí ortodontické aparáty - mezi dráty se plak hromadí jako nikde jinde
- ženy v těhotenství - změny hormonů zvyšují citlivost dásní
- lidé s přírodními problémy se slinami - například po chemoterapii nebo při užívání některých léků
Než se rozhodnete, zda jste „v pořádku“, podívejte se do zrcadla a přitlačte prstem na dásně u spodních zubů. Pokud dásně krvácejí, jsou červené nebo se vzdalují od zubů - to je signál, že už je kámen tam, kde nemá být. Ať už je to málo nebo hodně - nečekáte. Jděte na kontrolu.
Co se stane, když zubní kámen neodstraníte?
Když kámen zůstane, začne se dásně odtrhávat od zubu. Vznikne mezera - tzv. paradentální kapsa. Tam se hromadí bakterie, které nejsou schopné odstranit ani nejlepší kartáček. Tyto bakterie vydávají toxiny, které ničí kost a vaziva kolem zubu. Výsledek?
- Zápach z úst, který nezmizí ani po čištění
- Krvácení dásní při čištění nebo jídle
- Zuby, které se začnou hýbat
- Bolest při žvýkání
- Ztráta zubů - často bez bolesti, dokud není pozdě
Studie z Journal of Clinical Periodontology ukázaly, že lidé s neodstraněným zubním kamenem mají třikrát vyšší riziko ztráty zubů do věku 50 let. A to je jen začátek. Bakterie z úst se mohou dostat do krevního oběhu a přispívat k zánětům v srdci, mozkových cévách nebo plicích. Výzkumy z roku 2024 potvrzují, že chronický zánět dásní je spojen s vyšším rizikem infarktu i cukrovky.
Jak si můžete pomoci doma - a co nefunguje?
Profesionální čištění je nutné, ale doma můžete značně snížit riziko vzniku kamenů. Nejúčinnější metody:
- Čištění dvakrát denně - ráno a večer, po dobu 2 minut. Používejte kartáček s měkkými štětinami a fluoridovou pastou.
- Zubní nit - každý večer. Kámen se často tvoří mezi zuby, kde kartáček nedosáhne. Nit je jediný způsob, jak tyto místa vyčistit.
- Ústní voda s fluoridem - pomáhá zpevňovat sklovinku a zpomaluje tvorbu plaku.
- Omezení cukru a sladkých nápojů - bakterie živí se cukrem. Pokud piješ sladkou limonádu nebo často sníš bonbóny, plak se tvoří rychleji.
- Čisté nádobí a kartáčky - měňte kartáček každé 3 měsíce. Pokud je štětina roztříštěná, není účinný.
A co nefunguje? Žádné domácí „kouzelné“ prostředky - ne sůl, ne ocet, ne kokosový olej. Tyto metody neodstraní kámen. Můžou způsobit poškození sklovinky nebo dásní. A žádný „čistící“ prach nebo sprej z lékárny nezamezí tvorbě kamenů - jen přechodně maskují zápach.
Co se děje při čištění u zubního lékaře?
První věc: nebojte se. Proces je rychlý a obvykle bezbolestný. Pokud máte citlivé dásně, lékař vám může aplikovat lehké místní anestezii - jen na dásně, ne na celé ústní dutině.
Postup je jednoduchý:
- Nejprve použijí ultrazvukový přístroj - vydává vysoké frekvence a rozpadá kámen na drobné částice. Slyšíte příjemný zvuk, jako by se voda rozprskávala.
- Potom použijí jemné ruční nástroje - škrábky - k odstranění zbytků, zejména pod dásněmi.
- Na závěr zubní hygienička poliruje zuby speciální pastou - to způsobí, že povrch zubů je hladký a bakterie se tam lépe neuchytávají.
- Na konci vám vysvětlí, kde se plak hromadí nejvíc, a ukáže, jak správně čistit tyto oblasti.
Čištění trvá 30-60 minut. Nejsou potřeba žádné injekce, žádné výřezy, žádné zvláštní přípravky. A po něm budete mít zuby jako nové - nejen vzhledem, ale i v pocitu. Mnoho lidí říká, že po čištění mohou jíst chladné nebo horké jídlo bez bolesti - protože dásně se uzdravily.
Je čištění zubního kamene placeno z pojištění?
Ano. V České republice je jedno profesionální čištění zubního kamene ročně pokryto z veřejného zdravotního pojištění. Stačí, abyste měli základní pojištění - nezáleží, jestli jste zaměstnaný, důchodce nebo student. Většina zubních klinik to vědí - ale ne všechny vás o tom informují.
Nezapomeňte se zeptat: „Je to pokryto z pojištění?“ Pokud vám řeknou „ne“, nechte si vystavit účet - můžete ho předložit pojišťovně a požadovat vrácení peněz. Pokud máte doplňkové pojištění, můžete mít čištění dvakrát ročně zdarma. Zkontrolujte své podmínky - mnoho lidí to neví.
Kam jít a jak vybrat správnou kliniku?
Nejde o to, kde je nejlevnější. Jde o to, kdo je kvalifikovaný. Hledejte kliniku, kde pracuje zubní hygienička s titulem „zubní hygienička“ - ne jen asistentka. Hygienička má dvouleté studium a je odborně způsobilá k odstraňování kamenů a výuce správné hygieny.
Podívejte se na recenze - ale ne na ty, které říkají „všechno bylo skvělé“. Hledejte recenze, kde lidé popisují, jak jim hygienička vysvětlila, kde se jim tvoří plak, a jak jim ukázala, jak správně čistit mezi zuby. To je znamení kvality.
V Brně a okolí je mnoho dobrých klinik. Nejde o to, jestli je to velká síť nebo malá ordinace - jde o to, jestli se hygienička ptá, jak často čistíte zuby, jestli používáte nit, a jestli máte nějaké zdravotní problémy. Pokud vás neptá, jde o obchod, ne o péči.
Co dělat po čištění?
Po čištění můžete mít citlivé zuby nebo dásně na 1-3 dny. To je normální. Nečešte si zuby agresivně, nepijte horké nebo studené nápoje, pokud to bolí. Používejte pastu pro citlivé zuby - obsahuje látky, které zmenšují citlivost.
Nezapomeňte: čištění není konec - je to začátek. Pokud po něm nebudete čistit zuby každý večer, kámen se vrátí za 3-6 měsíců. Základní pravidlo: čištění je jako výměna oleje v autě. Neřeší problém navždy - ale zabraňuje, aby se závažnější škoda stala.
Co se stane, když přestanete chodit na kontrolu?
Když přestanete chodit, kámen se tvoří znovu. Za rok budete mít více než dvojnásobek kamenů než předtím. Za dva roky se dásně začnou stahovat. Za tři roky se zuby začnou hýbat. A pak přijde čas, kdy už nejde o čištění - ale o zubní implantace, které stojí tisíce korun. A to je jen začátek. Více než 40 % lidí ve věku 65 let má ztracené zuby z důvodu neodstraněného zubního kamene. To není náhoda - je to důsledek nečinnosti.
Necháte své zuby na náhodu? Nebo se rozhodnete pro jednoduchou, bezpečnou a placenou zdravotní péči, která vám ušetří bolest, peníze a zuby?
